La sonrisa gingival
El equipo de dentistas en Vitoria de la Clínica Lakudent llevamos años trabajando la sonrisa gingival. Este defecto no trae consigo un problema bucondental como tal, pero puede provocar falta de autoestima e inseguridad para quien lo padece. En la actualidad, un 10% de la población sufre esta anomalía, que si no se trata a tiempo, sí podría traer consigo algunos problemas de salud en el futuro.
Se podría decir que se trata de un problema estético, por lo que existe solución y corregirlo es sencillo y seguro para el paciente.
¿Qué es la sonrisa gingival?
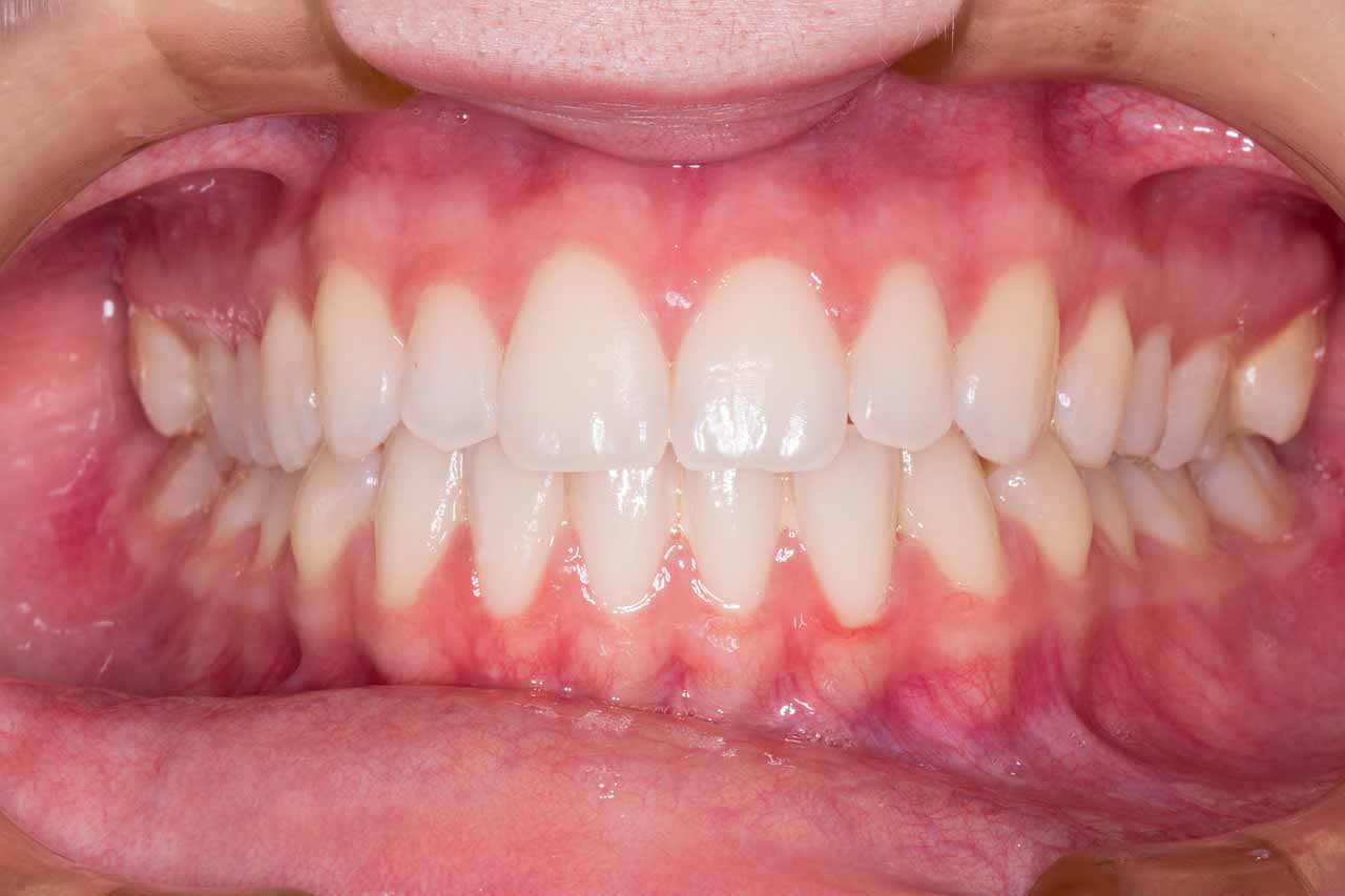
A la sonrisa gingival también la denominamos sonrisa alta. Consiste en mostrar más encía que dientes en la parte superior de la boca a la hora de sonreír. A pesar de que cada persona tiene unos baremos a la hora de entender la estética de una sonrisa, los odontólogos han considerado que esta irregularidad se padece cuando se muestran al menos cuatro milímetros de encía.
Para tratar la sonrisa gingival en Vitoria debemos comenzar analizando por qué se produce o cuáles son sus principales causas. Existen varios motivos:
– Crecimiento excesivo del maxilar superior. Esta causa normalmente trae consigo un problema de oclusión o mordida defectuosa.
– El labio superior sube más de lo normal a la hora de sonreír provocando que se vea demasiado trozo de encía.
– Problemas durante la eclosión de los dientes en la infancia. Se pude dar el caso de que las encías cubran al diente en una proporción mayor de la habitual durante su crecimiento.
– Los incisivos superiores crecen demasiado y sobresalen de la encía. Esto se produce cuando los incisivos no chocan con los dientes de abajo.
– Inflamación de la encía o sobrecrecimiento como consecuencia de una mala higiene.
– Desgaste excesivo de los dientes provoca que se altere la proporción entre diente y encía.
¿Cuál es el diagnóstico de la sonrisa gingival?
La falta de contacto de los dientes superiores con los inferiores y el anómalo crecimiento de las piezas durante el desarrollo son las dos principales causas de esta enfermedad. Incluso, en algunas ocasiones se combinan varias causas para provocar la sonrisa gingival. Realizar un diagnóstico correcto es fundamental para solucionar el problema con éxito.
Cuando acudes a la clínica dental en Vitoria porque te preocupa la imagen de tu sonrisa, el médico realiza un estudio a fondo de tu caso para determinar las causas y el tratamiento a seguir. Es de vital importancia que el procedimiento que se aplique esté en concordancia con el problema, ya que un tratamiento de este tipo necesita el trabajo de especialistas de diferentes campos. Ellos serán los encargados de planificar el proceso a seguir para mejorar, no sólo tu sonrisa, sino también tu calidad de vida y tu
autoestima.
¿Cómo tratar la sonrisa gingival?
Una vez determinadas las causas que provocan la sonrisa gingival llega el momento de que el dentista en Vitoria aplique el tratamiento más adecuado. Hay varios caminos a seguir, todos ellos con buenos resultados para nuestros pacientes:
– Ortodoncia. El desgaste excesivo de las piezas dentales puede solucionarse con braquets, ortodoncia invisible o cualquier técnica correctiva. Una vez estén colocados en su posición correcta, se termina el tratamiento colocando carillas o coronas para compensar la estructura perdida.
– Bótox. Este procedimiento se realiza en los casos en los que el labio sube demasiado a la hora de sonreír. Gracias a las infiltraciones de bótox, se paralizará el músculo del labio de manera temporal, evitando así que se mueva en exceso. Esta actuación deberá repetirse cada seis meses.
– Cirugía oral. La llevaría a cabo un cirujano plástico o uno maxilofacial. Los resultados serían permanentes, lo que supone una gran ventaja respecto al bótox.
– Cirugía periodontal. Se lleva a cabo cuando hay exceso de tejido gingival. Durante la operación ser retira el tejido sobrante y se da la forma correcta al diente para que las proporciones sean equilibradas.
– Cirugía ortognática. Se lleva a cabo cuando el maxilar superior es demasiado largo. Gracias a ella se reduce la altura del maxilar y así disminuye la cantidad de encía expuesta al sonreír.
Más allá de la estética, que siempre es importante para que el paciente se sienta seguro de sí mismo y mantenga la autoestima, en Lakudent damos especial relevancia a la salud de tu boca. Es importante saber que cuando se padece sonrisa gingival, la encía sobrante no está pegada al diente, sino apoyada en él. Con el tiempo, las bacterias se posan en estos espacios pudiendo provocar caries y enfermedades periodontales. Por este motivo, un diagnóstico correcto y un tratamiento de la sonrisa gingival mejora nuestra estética, pero también nuestra salud.



0 comentarios